










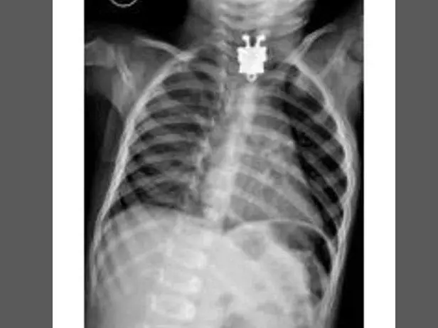
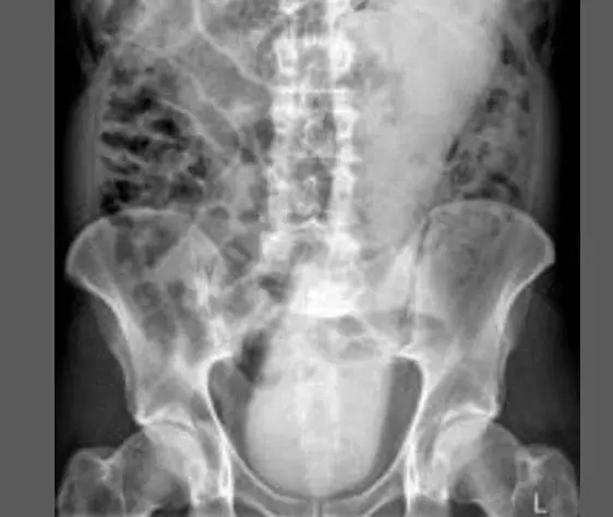
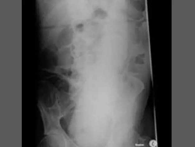
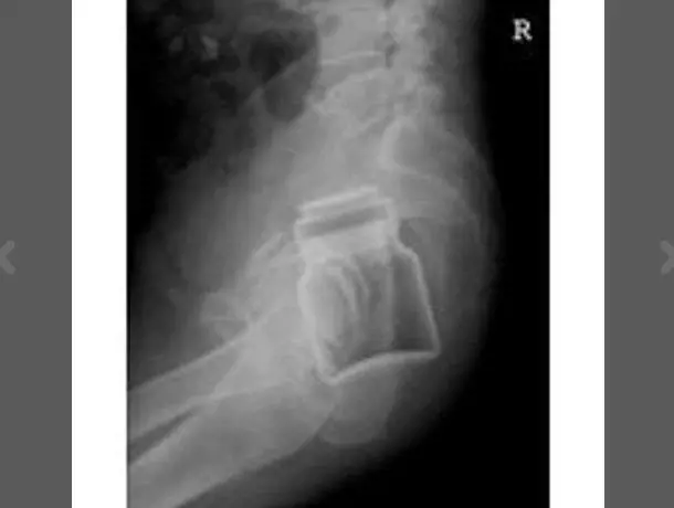
Pazze radiografie: gli oggetti che possono finire nel corpo umano
Oggetti bizzarri che hanno trovato la loro strada all'interno del corpo umano, e documentati grazie alle pazze radiografie raccolte dal dottor Frank Gaillard. Quest’ultimo ha fondato Radiopaedia.org, un sito collaborativo che raccoglie casi radiologici e articoli medici a tema.