Operato al polmone sbagliato, muore in ospedale per asfissia: la sua tac fu letta al contrario

Tre medici indagati in Veneto per omicidio colposo

Operato al polmone sbagliato, muore in ospedale per asfissia: la sua tac fu letta al contrario

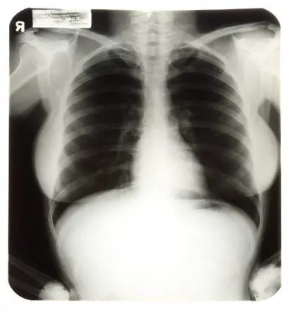
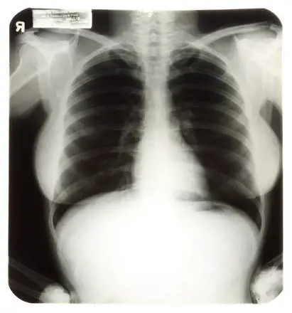
Morto perché operato al polmone sbagliato a causa di una tac letta al contrario. Questa l'incredibile ricostruzione sulla base della quale tre medici della Ulss 3 di Bassano del Grappa sono accusati di omicidio colposo per la morte del 67enne Gioachino Lessio.

Lessio, geometra originario della Valbrenta, era deceduto dopo tre quarti d'ora di tentativi di rianimazione in seguito a un intervento chirurgico di toracentesi, per il drenaggio dei polmoni. I parenti, da subito, avevano espresso il sospetto che si trattasse di un errore clamoroso: l'uomo sarebbe stato operato al polmone sbagliato. E del resto anche il direttore generale dell'Ulss, Antonio Compostella aveva parlato del "sospetto di aver effettuato la procedura di toracentesi dal lato opposto a quello interessato dalla patologia" sin dai giorni successivi all'operazione.

A seguito dell'inchiesta avviata dalla procura della Repubblica, il medico legale Antonio Cirnelli ha depositato conclusioni che delineano un quadro davvero paradossale: i medici avrebbero letto la lastra al rovescio, operando il polmone sano invece di quello

malato. Il paziente sarebbe così morto in meno di dieci minuti per l'asfissia provocata dall'errore.

Ora si attende il responso del giudice per stabilire se si tratti o meno di un clamoroso caso di malasanità.

Commenti
Pubblica un commento
Non sono consentiti commenti che contengano termini violenti, discriminatori o che contravvengano alle elementari regole di netiquette. Qui le norme di comportamento per esteso.
Accedi
ilGiornale.it Logo Ricarica