
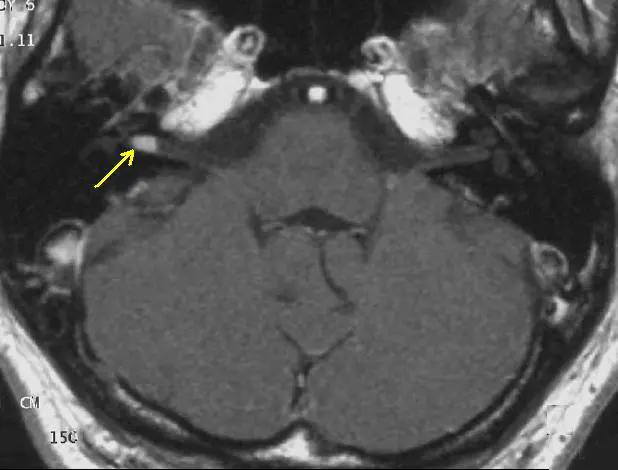
Secondo recenti statistiche vengono colpite circa 13 persone per milione di abitanti. Si tratta soprattutto di donne e di soggetti con un'età superiore ai 40 anni. 5 casi su 100 sono legati alla neurofibromatosi di tipo 2, una condizione congenita particolare. Il neurinoma acustico, noto anche come Schwannoma vestibolare, è un tumore benigno del cervello che interessa le cellule di Schwann dell'VIII nervo cranico. Queste cellule della glia, che avvolgono gli assoni, fanno parte del sistema nervoso periferico. Esse producono la mielina, ovvero una sostanza isolante che aumenta la velocità di conduzione del segnale nervoso e hanno il compito di fornire supporto e stabilità ai neuroni.
Tranne che per gli individui affetti da neurofibromatosi di tipo 2, le cause del neurinoma acustico non sono state ancora chiarite completamente. Si ritiene che alla sua origine vi sia una mutazione genetica a carico delle già citate cellule di Schwann dell'VIII nervo cranico. La neurofibromatosi di tipo 2, una neoplasia benigna dei nervi cranici e spinali, è l'esito di una mutazione del gene NF2 che può essere trasmessa dai genitori o manifestarsi in maniera spontanea in seguito alla formazione dell'embrione. I sintomi sono vari e includono: problematiche acustiche bilaterali, meningiomi, cataratta, epedimomi, placche cutanee e neuropatie periferiche.
I sintomi del neurinoma acustico compaiono gradualmente, poiché la massa cancerosa si accresce in maniera lenta e discontinua. Il ritmo di crescita della neoplasia, infatti, è di circa 1-2 millimetri all'anno, tuttavia possono verificarsi casi in cui il tumore si espande più velocemente. Tale condizione, ovviamente, rende la diagnosi alquanto difficile. La prima conseguenza del neurinoma acustico è la compromissione delle funzioni uditive e di equilibrio. Ciò spiega perché i pazienti lamentano perdita di udito, acufeni e vertigini. I disturbi acustici vengono avvertiti, quasi sempre, su un lato soltanto, ma possono presentarsi su entrambi i lati se all'origine del tumore vi è la neurofibromatosi di tipo 2. Altri segni clinici comprendono: mal di testa, visione offuscata, intorpidimento, formicolio e/o dolore a un lato della faccia, atassia, difficoltà di deglutizione, cambiamenti del tono di voce.
La principale complicanza del neurinoma acustico sta nel fatto che esso, se trascurato, si espande sempre più fino a influenzare negativamente la vita di tutti i giorni. Un'altra temibile complicazione è il cosiddetto idrocefalo. Si tratta di un grave disturbo caratterizzato dall'accumulo patologico di liquor nello spazio sub aracnoideo e nei ventricoli cerebrali.
La prognosi del neurinoma acustico varia da paziente a paziente, tuttavia esistono dei fattori in grado di influenzare positivamente il decorso. Tra questi si ricordino le dimensioni ridotte e il lento ritmo di crescita della neoplasia e lo stato di salute generale del soggetto. Da non sottovalutare, poi, l'esperienza e la preparazione del team medico.