
I punti chiave
Prevenire un cancro al seno adesso può essere molto più facile grazie ai progressi in campo medico con l'aiuto dell'intelligenza artificiale: alcuni scienziati del Mit (Massachusetts Institute of Technology) hanno testato un nuovo sistema che consente di scoprire la malattia fino a cinque anni prima della sua comparsa grazie a un modello di apprendimento in grado di analizzare la mammografia di una paziente che è in grado di "prevedere" con estrema precisione il rischio di sviluppare un tumore al seno.
Cos'è il progetto Mirai
È sicuramente un risultato sorprendente in grado di cambiare la vita a milioni di pazienti in tutto il mondo: il nuovo sistema è nato nel 2021 ed è stato testato con successo in tre diversi ospedali sparsi tra Stati Uniti, Svezia e Taiwan così da poter verificare l'efficacia su pazienti che appartengono a diverse etnie. Il progetto si chiama Mirai, è basato sul "deep learning", ossia un avanzato livello di apprendimento approfondito dell'IA "che assegna un punteggio di rischio personalizzato alla mammografia, aiutando i medici a stabilire quando una paziente debba tornare per lo screening successivo", spiegano i ricercatori.
Come funziona
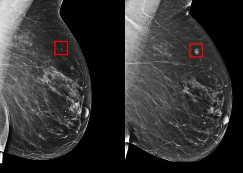
Entrando nel dettaglio, grazie un algoritmo chiamato "Image encoder" nella prima fase dello screening si acquisiscono le immagini delle mammografie mediante i raggi X: a questo punto lo strumento assorbe i dati e analizza molto scrupolosamente i risultati. Subito dopo, grazie all'intelligenza artificiale, queste immagini vengono integrate con numerose scansioni digitali così da avere un quadro più completo e una serie incredibile di dati che l'uomo, da solo, farebbe fatica a tenere. Con il mix di informazioni il nuovo strumento è molto preciso nella previsione di tumore al seno per la paziente in un arco di tempo che varia da uno fino a cinque anni.
I primi risultati
Mirai ha già dimostrato alcuni risultati molto promettenti grazie all'acquisizione di oltre un milione di mammografie su donne di diverse fasce d'età, etnie, densità mammarie e dispositivi mammografici. I ricercatori spiegano che Mirai "ha mostrato buone prestazioni in un set di dati esterni arricchito di pazienti afroamericani, malattie benigne del seno e portatori di mutazioni BRCA e i risultati dello studio suggeriscono che le prestazioni del modello sono probabilmente guidate dal rilevamento di cambiamenti precancerosi". Già nel 2023, però, il dipartimento di Informatica della Duke University di Durham aveva implementato un sistema avanzato chiamato "Asym Mirai", che aveva analizzato oltre 200mila mammografie da oltre 80mila pazienti con un già migliorato supporto rispetto al modello precedente.
C'è anche da sottolineare che questo modello riesce a distinguere anche i tessuti dei seni delle pazienti e confrontare quello destro con quello sinistro in modo da identificare eventuali differenze che possono suonare come un campanello d'allarme e attuare tutte le prevenzioni del caso.
"Possiamo, con sorprendente precisione, prevedere se una donna svilupperà il cancro nei prossimi 1-5 anni basandoci esclusivamente sulle differenze localizzate tra il tessuto del seno sinistro e destro", hanno concluso i ricercatori.