
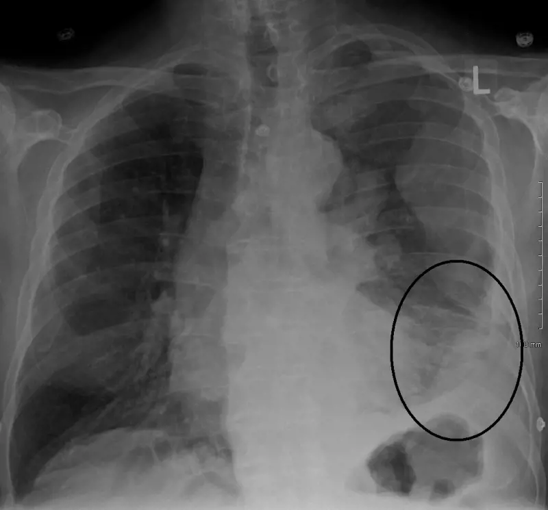
Intervistato da Fabio Fazio sul Nove e sul Corriere della sera, Franco Di Mare ha annunciato pubblicamente di aver contratto un mesotelioma. "Ho un tumore che non lascia scampo. Mi resta poco da vivere, quanto non lo so. Però non mollo. Confido nella ricerca", ha spiegato al quotidiano. Il mesotelioma è un tumore molto aggressivo che colpisce le cellule del mesotelio, ossia le membrane che rivestono gli organi interni. È un tumore non comune e quello del giornalista ha avuto origine nella pleura, la membrana dei polmoni. "Al posto del polmone destro c’era il nulla. Era collassato insieme alla pleura, la pellicola che lo avvolge. La cassa toracica per metà era vuota", ha detto ancora.
Il mesotelioma viene considerato un tumore raro, che ha maggiore incidenza nella popolazione maschile e rappresenta lo 0.8% di tutti i tumori diagnosticati negli uomini, mentre la percentuale scende allo 0.3% nelle diagnosi di tumore femminile. Il 90% di questi carcinomi di sviluppa a seguito di esposizione all'amianto: le sue fibre sono leggerissime, impalpabili, e finiscono facilmente all'interno del corpo umano se si respira in una zona contaminata. Tra la respirazione delle fibre e l'insorgenza della malattia possono passare anche diversi decenni, fino a 50 anni secondo alcune stime, ed è per questo motivo che i medici stimano una crescita dei casi nei prossimi anni. L'amianto è stato utilizzato in modo massiccio fino agli anni Ottanta come materiale da costruzione ma Di Mare suppone che la sua sia una esposizione diversa: "Sono stato a lungo nei Balcani, tra proiettili all’uranio impoverito, iper-veloci, iper-distruttivi, capaci di buttare giù un edificio. Ogni esplosione liberava nell’aria infinite particelle di amianto. Ne bastava una".
Il mesotelioma pleurico che ha colpito Di Mare è rappresentativo di 4 casi su 5 di questo tipo di tumore. Ma rientrano in statistica anche il mesotelioma peritoneale, mesotelioma pericardico e mesotelioma della tunica vaginale, ma sono tutti molto rari. Il mesotelioma pleurico inizia a manifestarsi con l'insorgenza di liquido nella cavità pleurica, che rende il fiato corto e provoca tosse. A questi si aggiungono successivamente dolori e debolezza e, purtroppo, quando viene diagnosticato è già in uno stadio avanzato che non permette la guarigione. La ricerca non si ferma e sono stai fatti importanti passi in avanti, che offrono a chi ne soffre un allungamento dell'aspettativa di vita.
A oggi, con le attuali conoscenze, a 5 anni dalla diagnosi sopravvive solo l'8% dei pazienti che l'hanno contratto, se sono uomini, e il 10% se sono donne. Il trattamento chirurgico e le cure chemioterapiche sono al momento le preferite.