Leggi il settimanale

cancro al seno

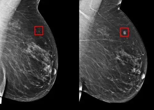
Alcuni cambiamenti che interessano il seno possono suggerire la presenza di un tumore alla mammella. Non è sempre vero, ma in alcuni casi è saggio e prudente consultare un medico. Dolore, noduli, piaghe,quando dovresti preoccuparti per il tuo seno? Ci sono segnali a cui prestare attenzione.

Francesca Bocchi
Quali sono i sintomi del cancro al seno a cui prestare attenzione
Accedi
ilGiornale.it Logo Ricarica