Una scoperta scientifica apre la strada a nuovi trattamenti e prevenzione sugli infarti del miocardio che non sono derivati soltanto dalle placche di aterosclerosi: qual è il ruolo dei batteri e cosa accade

Una scoperta scientifica apre la strada a nuovi trattamenti e prevenzione sugli infarti del miocardio che non sono derivati soltanto dalle placche di aterosclerosi: qual è il ruolo dei batteri e cosa accade
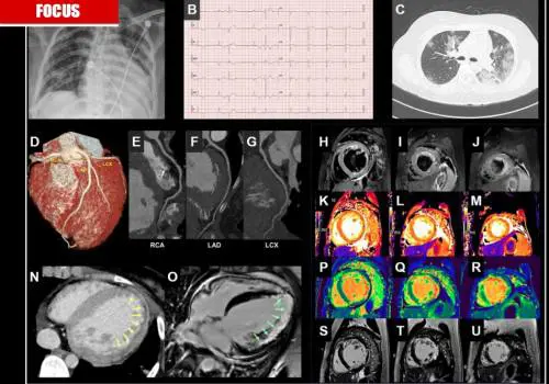
È possibile scoprire in tempo utile tre diversi profili di rischio per ictus e infarti su pazienti con l'aterosclerosi grazie al materiale genetico: ecco la scoperta e le implicazioni future
L'influenza provoca anche una risposta infiammatoria che può rivelarsi pericolosa nelle persone con problematiche cardiocircolatorie: ecco l'importanza dei vaccini antinfluenzali, quali sono gli effetti benefici e le misure da adottare
È ancora troppo elevato il numero di persone che possono evitare di andare incontro a malattie cardiache con fattori di rischio modificabili: ecco quali sono e cosa succede con ansia e stress
Sono tantissimi i benefici dimostrati nel fare le scale: da un minor rischio ictus e infarto alla riduzione del colesterolo, ecco i risultati di una meta-analisi con oltre 480 mila persone
Presentano una minore calcificazione alle coronarie coloro i quali si svegliano presto al mattino: ecco lo studio svedese che dimostra il collegamento tra infarti e ictus con chi va a dormire tardi la notte
Uno studio condotto per 13 anni ha mostrato la relazione tra il ritardo di alcuni pasti principali e l'insorgenza di malattie cardiovascolari: ecco i risultati e i consigli degli esperti
Un picco di infarti si registra in concomitanza con gli ultimi giorni dell'anno: ecco quali sono le cause e i metodi per non affaticare il cuore
Eliminando cinque fattori scatenanti di rischio si può dimezzare il rischio di contrarre ictus e infarti: ecco i risultati di uno studio americano
Triplicati gli infarti in Italia nel mese di marzo rispetto allo stesso periodo dell'anno scorso: ospedali quasi interamente dedicati ai casi Covid-19 e pazienti che hanno paura di contrarre il virus e rinunciano alle cure. Ma il virus è anche conseguenza diretta di molti decessi per infarto, fino al 27% dei casi. Ecco cosa dicono gli studi